Cabinet du Docteur Jean-Michel
KNITTEL
Chirurgien Dentiste à Horbourg-Wihr
Cabinet du Docteur Jean-Michel
KNITTEL

7 rue de Ribeauvillé
68180 Horbourg-Wihr

Chirurgien Dentiste à Horbourg-Wihr

+33 3 89 41 24 03

Blog

Comblement de sinus par voie latérale et implantation simultanée

Comblement de sinus par voie latérale et implantation simultanée

Le traitement de la parodontite par ultrasons

Le traitement de la parodontite par ultrasons

Le mouvement normal de l’articulation temporo-mandibulaire

Le mouvement normal de l’articulation temporo-mandibulaire

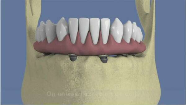
Mandibule complète et traitement implantaire pour un bridge fixe vissé

Mandibule complète et traitement implantaire pour un bridge fixe vissé

Facettes

Facettes

Blanchiment au fauteuil

Blanchiment au fauteuil

Affichage des articles 1-6 sur 210

Création par Webdentiste

Connexion