Cabinet du Docteur Jean-Michel
KNITTEL
Chirurgien Dentiste à Horbourg-Wihr
Accueil
Le Cabinet
Plan d'accès
Urgences Orthodontiques
Fiches conseils
Cabinet du Docteur Jean-Michel
KNITTEL
7 rue de Ribeauvillé
68180
Horbourg-Wihr
Chirurgien Dentiste à Horbourg-Wihr
+33 3 89 41 24 03
Accueil
Le Cabinet
Plan d'accès
Urgences Orthodontiques
Fiches conseils
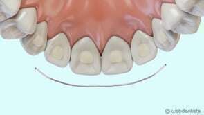
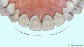
Fil de contention
Vidéos 3D
Partager
Twitter
Partager
Partager
Envoyer
Copier
Cabinet du Docteur Jean-Michel KNITTEL
7 rue de Ribeauvillé
68180
Horbourg-Wihr
+33 3 89 41 24 03
Conditions Générales Utilisation
Mentions légales
Politique de confidentialité et charte cookie
Charte déontologique
Ordre national
Annuaires chirurgiens dentistes
Création par
Connexion